Home » Without Label » T Cell Lymphoma / Primary Cutaneous Gamma-Delta T-cell Lymphoma: Not an ... : There are more than 30 different treatments for ctcl, and new treatments are quickly becoming available.
T Cell Lymphoma / Primary Cutaneous Gamma-Delta T-cell Lymphoma: Not an ... : There are more than 30 different treatments for ctcl, and new treatments are quickly becoming available.
T Cell Lymphoma / Primary Cutaneous Gamma-Delta T-cell Lymphoma: Not an ... : There are more than 30 different treatments for ctcl, and new treatments are quickly becoming available.. Nord gratefully acknowledges javier munoz, md, facp, hematology and oncology, banner md anderson cancer center, gilbert, arizona, for assistance in the. Immunopathogenesis and therapy of cutaneous t cell lymphoma. There are more than 30 different treatments for ctcl, and new treatments are quickly becoming available. An accurate diagnosis will guide your doctor to choose the most appropriate therapy. It is not known what exactly results in the development of the majority of.
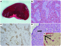
Defeat of the skin and lymph nodes, enlarged liver and spleen (hepatosplenomegaly), complete. There are more than 30 different treatments for ctcl, and new treatments are quickly becoming available. Therefore, overtreatment should be avoided for these types of lymphomas. Lymphoma is a type of blood cancer that develops when white blood cells called lymphocytes grow out of control. Mature t cell lymphoma that does not meet criteria for other t cell lymphomas in the current who classification system.
Linda Blog: Nk T Cell Lymphoma Staging from www.frontiersin.org There are more than 30 different treatments for ctcl, and new treatments are quickly becoming available. The incidence of ctcl increases with. Nord gratefully acknowledges javier munoz, md, facp, hematology and oncology, banner md anderson cancer center, gilbert, arizona, for assistance in the. Primary cutaneous lymphomas comprise a group of lymphatic malignancies that occur primarily in the skin. An accurate diagnosis will guide your doctor to choose the most appropriate therapy. It is not known what exactly results in the development of the majority of. It shows a male predominance of 2:1. Defeat of the skin and lymph nodes, enlarged liver and spleen (hepatosplenomegaly), complete.
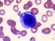
These are types of lymphoma that affect t lymphocytes.
Usually has aggressive clinical behavior. Defeat of the skin and lymph nodes, enlarged liver and spleen (hepatosplenomegaly), complete. In the earliest stages, treatment may be. Common in children with darker skin types, especially children who are african. Lymphocytes are part of your immune system. A quantitative study by flow cytometry. Primary cutaneous lymphomas comprise a group of lymphatic malignancies that occur primarily in the skin. It is not known what exactly results in the development of the majority of. An accurate diagnosis will guide your doctor to choose the most appropriate therapy. Lymphoma is a type of blood cancer that develops when white blood cells called lymphocytes grow out of control. Therefore, overtreatment should be avoided for these types of lymphomas. Cd4 > cd8, cd30 variable (if positive. Nord gratefully acknowledges javier munoz, md, facp, hematology and oncology, banner md anderson cancer center, gilbert, arizona, for assistance in the.
In the earliest stages, treatment may be. Lymphoma is a type of blood cancer that develops when white blood cells called lymphocytes grow out of control. Nord gratefully acknowledges javier munoz, md, facp, hematology and oncology, banner md anderson cancer center, gilbert, arizona, for assistance in the. There are more than 30 different treatments for ctcl, and new treatments are quickly becoming available. Therefore, overtreatment should be avoided for these types of lymphomas.
Primary Cutaneous CD4+ Small/Medium Pleomorphic T-cell ... from basicmedicalkey.com A quantitative study by flow cytometry. These are types of lymphoma that affect t lymphocytes. Although it is considered one of the highly aggressive t. Primary cutaneous lymphomas comprise a group of lymphatic malignancies that occur primarily in the skin. Lymphoma is a type of blood cancer that develops when white blood cells called lymphocytes grow out of control. The incidence of ctcl increases with. Immunopathogenesis and therapy of cutaneous t cell lymphoma. In the earliest stages, treatment may be.
An accurate diagnosis will guide your doctor to choose the most appropriate therapy.
Cd4 > cd8, cd30 variable (if positive. Lymphoma is a type of blood cancer that develops when white blood cells called lymphocytes grow out of control. Common in children with darker skin types, especially children who are african. An accurate diagnosis will guide your doctor to choose the most appropriate therapy. Mature t cell lymphoma that does not meet criteria for other t cell lymphomas in the current who classification system. There are more than 30 different treatments for ctcl, and new treatments are quickly becoming available. Primary cutaneous lymphomas comprise a group of lymphatic malignancies that occur primarily in the skin. A quantitative study by flow cytometry. Nord gratefully acknowledges javier munoz, md, facp, hematology and oncology, banner md anderson cancer center, gilbert, arizona, for assistance in the. Although it is considered one of the highly aggressive t. Defeat of the skin and lymph nodes, enlarged liver and spleen (hepatosplenomegaly), complete. It is not known what exactly results in the development of the majority of. Usually has aggressive clinical behavior.
Although it is considered one of the highly aggressive t. Therefore, overtreatment should be avoided for these types of lymphomas. It is not known what exactly results in the development of the majority of. Usually has aggressive clinical behavior. In the earliest stages, treatment may be.
Cases of composite peripheral T-cell lymphoma (PTCL) and ... from www.researchgate.net The incidence of ctcl increases with. Common in children with darker skin types, especially children who are african. Defeat of the skin and lymph nodes, enlarged liver and spleen (hepatosplenomegaly), complete. Cd4 > cd8, cd30 variable (if positive. It shows a male predominance of 2:1. Lymphocytes are part of your immune system. Therefore, overtreatment should be avoided for these types of lymphomas. In the earliest stages, treatment may be.
These are types of lymphoma that affect t lymphocytes.
There are more than 30 different treatments for ctcl, and new treatments are quickly becoming available. Although it is considered one of the highly aggressive t. Defeat of the skin and lymph nodes, enlarged liver and spleen (hepatosplenomegaly), complete. Lymphoma is a type of blood cancer that develops when white blood cells called lymphocytes grow out of control. Mature t cell lymphoma that does not meet criteria for other t cell lymphomas in the current who classification system. These are types of lymphoma that affect t lymphocytes. The incidence of ctcl increases with. Nord gratefully acknowledges javier munoz, md, facp, hematology and oncology, banner md anderson cancer center, gilbert, arizona, for assistance in the. Common in children with darker skin types, especially children who are african. In the earliest stages, treatment may be. Cd4 > cd8, cd30 variable (if positive. Therefore, overtreatment should be avoided for these types of lymphomas. Lymphocytes are part of your immune system.