Home » Without Label » Lisfranc Injury : Lisfranc Injury | Lisfranc Treatment | Vail, Grand ... - A lisfranc injury is often mistaken for a simple sprain, especially if the injury is a result of a straightforward twist and fall.
Lisfranc Injury : Lisfranc Injury | Lisfranc Treatment | Vail, Grand ... - A lisfranc injury is often mistaken for a simple sprain, especially if the injury is a result of a straightforward twist and fall.
Lisfranc Injury : Lisfranc Injury | Lisfranc Treatment | Vail, Grand ... - A lisfranc injury is often mistaken for a simple sprain, especially if the injury is a result of a straightforward twist and fall.. Because of the inherent weakness in the tarsometatarsal joints, a hyperplantar flexion force will usually Indirect injuries are more common. Nfl network insider ian rapoport reported tuesday that etienne suffered a lisfranc injury during the game, per a. A lisfranc fracture occurs when there are either torn ligaments or broken bones in the midfoot area of one or both feet. Typical signs and symptoms include pain, swelling and the inability to bear weight.
— ian rapoport (@rapsheet) august 24, 2021 etienne, who was drafted with the no. A lisfranc injury is an injury to the lisfranc joint in your foot. It is named for jacques lisfranc de st. The midfoot is the area of your foot that makes up the arch, where the. This joint connects the metatarsal bones (long bones that lead up to the toes) to the tarsal bones (bones in the arch of the foot).
Lisfranc injury: A runners worst nightmare: The Lisfranc ... from 3.bp.blogspot.com Lisfranc injuries are sometimes mistaken for ankle sprains, making the diagnostic process very important. The lisfranc ligament, a tough band of tissue that joins these bones, helps to maintain proper alignment and strength of the lisfranc joint. Test results tuesday revealed that jacksonville jaguars rookie running back travis etienne suffered a lisfranc injury to his left foot that is likely to end his 2021 nfl season, a source told espn. Nfl network insider ian rapoport reported tuesday that etienne suffered a lisfranc injury during the game, per a. Lisfranc joint injuries are rare, complex and often misdiagnosed. A lisfranc injury is a significant injury that involves the midfoot. It is named for jacques lisfranc de st. A lisfranc injury is often mistaken for a simple sprain, especially if the injury is a result of a straightforward twist and fall.
25 overall pick in april, was brought onto the roster to add speed.
The injury is named after jacques lisfranc de st. In a lisfranc joint injury, there is usually damage to the cartilage covering these bones. Because of the inherent weakness in the tarsometatarsal joints, a hyperplantar flexion force will usually 25 overall pick in april, was brought onto the roster to add speed. Andrew murphy and assoc prof frank gaillard et al. Indirect injuries are more common. This joint connects the metatarsal bones (long bones that lead up to the toes) to the tarsal bones (bones in the arch of the foot). Lisfranc injuries are sometimes mistaken for ankle sprains, making the diagnostic process very important. A lisfranc injury is a tarsometatarsal fracture dislocation characterized by traumatic disruption between the articulation of the medial cuneiform and base of the second metatarsal. #jaguars rb travis etienne, spotted on crutches after the game, suffered a lisfranc iniury and will have further tests today, source said. Jaguars' travis etienne suffers serious lisfranc injury that could end his season, per report etienne's timeline for a return is at least 12 weeks As with any injury, following your doctor's recommendations is an essential part of the recovery process. It is often confused with a sprain because of the similar causes and symptoms.
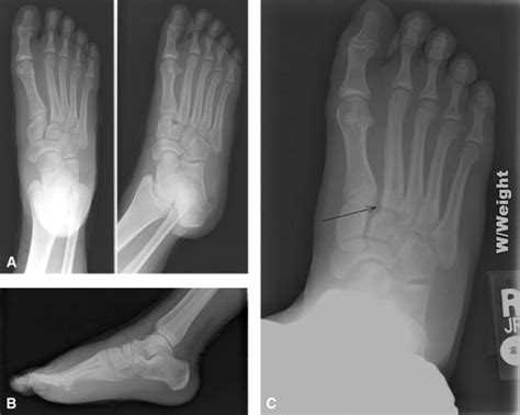
On physical examination, swelling is found primarily over the midfoot regi … Lisfranc injuries can also result simply from missing the last step on the stairs; The injury can hurt the whole foot or be limited to part of. Lisfranc injuries identified at the nfl combine had an adverse effect on an nfl athlete's draft status, draft position and overall play during initial nfl seasons. — ian rapoport (@rapsheet) august 24, 2021 etienne, who was drafted with the no.
Episode 76.0 - The Lisfranc Injury - Core EM from coreem.net Five of these long bones (the metatarsals) extend to the toes. Diagnosis of a lisfranc fracture requires a thorough. For those needing surgery, recovery will likely take three to five months. Exams today will determine how long he's out. Nfl network insider ian rapoport reported tuesday that etienne suffered a lisfranc injury during the game, per a. Typical signs and symptoms include pain, swelling and the inability to bear weight. A lisfranc injury is an injury to the lisfranc joint in your foot. To arrive at a diagnosis, the foot and ankle surgeon will ask questions about how the injury occurred and will examine the foot to determine the severity of the injury.
It is often confused with a sprain because of the similar causes and symptoms.
The midfoot is the area of your foot that makes up the arch, where the. A lisfranc injury is a significant injury that involves the midfoot. #jaguars rb travis etienne, spotted on crutches after the game, suffered a lisfranc iniury and will have further tests today, source said. Lisfranc injuries can also result simply from missing the last step on the stairs; Lisfranc injuries are sometimes mistaken for ankle sprains, making the diagnostic process very important. Five of these long bones (the metatarsals) extend to the toes. A lisfranc injury is an injury to the lisfranc joint in your foot. A lisfranc injury can involve any combination of fracture, joint dislocation, and/or injury to the stabilizing joint ligaments. It is named for jacques lisfranc de st. Travis etienne suffers lisfranc injury vs. For those needing surgery, recovery will likely take three to five months. To arrive at a diagnosis, the foot and ankle surgeon will ask questions about how the injury occurred and will examine the foot to determine the severity of the injury. Lisfranc injury recovery time nfl.
A lisfranc injury is an injury to the lisfranc joint in your foot. It is named for jacques lisfranc de st. Nfl network insider ian rapoport reported tuesday that etienne suffered a lisfranc injury during the game, per a. A lisfranc fracture is an injury affecting the middle foot. Because of the inherent weakness in the tarsometatarsal joints, a hyperplantar flexion force will usually
Lisfranc Injury Taping Using Leukotape for a Midfoot ... from i.pinimg.com A lisfranc injury occurs when one or more of the metatarsal bones are displaced from the tarsus, which is a cluster of bones at the top of the foot, just below the ankle joint. Exams today will determine how long he's out. Symptoms of a lisfranc injury may include swelling of the foot, pain throughout the midfoot upon standing or during examination, inability to bear weight, bruising on the bottom of the foot in the arch area and. It is named for jacques lisfranc de st. These issues may include cartilage damage, fallen arches, and arthritis. 25 overall pick in april, was brought onto the roster to add speed. Because of the inherent weakness in the tarsometatarsal joints, a hyperplantar flexion force will usually A lisfranc fracture is an injury affecting the middle foot.
These issues may include cartilage damage, fallen arches, and arthritis.
#jaguars rb travis etienne, spotted on crutches after the game, suffered a lisfranc iniury and will have further tests today, source said. A lisfranc injury can involve any combination of fracture, joint dislocation, and/or injury to the stabilizing joint ligaments. Diagnosis of a lisfranc fracture requires a thorough. Nfl network insider ian rapoport reported tuesday that etienne suffered a lisfranc injury during the game, per a. Lisfranc joint complex injury can occur as a result of direct or indirect trauma.3, 11 direct trauma occurs when an external force strikes the foot. Because of the inherent weakness in the tarsometatarsal joints, a hyperplantar flexion force will usually As with any injury, following your doctor's recommendations is an essential part of the recovery process. Exams today will determine how long he's out. A lisfranc injury is a tarsometatarsal fracture dislocation characterized by traumatic disruption between the articulation of the medial cuneiform and base of the second metatarsal. A lisfranc injury is often mistaken for a simple sprain, especially if the injury is a result of a straightforward twist and fall. Symptoms of a lisfranc injury may include swelling of the foot, pain throughout the midfoot upon standing or during examination, inability to bear weight, bruising on the bottom of the foot in the arch area and. For those experiencing strains or sprains, recovery could take six to eight weeks. Lisfranc injuries are sometimes mistaken for ankle sprains, making the diagnostic process very important.